La empresa de software de neuroimagen Qubiotech Health Intelligence amplía capital para consolidar su crecimiento y preparar su internacionalización

La compañía biotecnológica gallega Qubiotech Health Intelligence, dedicada al desarrollo y comercialización de software para mejorar el diagnóstico y seguimiento de enfermedades neurodegenerativas a través del procesamiento de imágenes basado en Inteligencia Artificial y socia del Clúster Tecnolóxico Empresarial das Ciencias da Vida (Bioga), ha cerrado una ronda de financiación dando entrada en su accionariado a los fondos especializados Sémola Tech Ventures y Nowture. “La entr

La compañía biotecnológica gallega Qubiotech Health Intelligence, dedicada al desarrollo y comercialización de software para mejorar el diagnóstico y seguimiento de enfermedades neurodegenerativas a través del procesamiento de imágenes basado en Inteligencia Artificial y socia del Clúster Tecnolóxico Empresarial das Ciencias da Vida (Bioga), ha cerrado una ronda de financiación dando entrada en su accionariado a los fondos especializados Sémola Tech Ventures y Nowture.

“La entrada de Nowture y Semola Tech Ventures en nuestro accionariado es muy positiva para la empresa por las sinergias y conocimiento que aportan en un momento de crecimiento del sector de la Inteligencia Artificial”, asegura Daniel Fernández Mosquera, director general de Qubiotech, biotech con sede en A Coruña. Los socios actuales de Qubiotech han valorado muy positivamente que Sémola Tech Ventures conoce de primera mano, a través de sus gestores Santi Domínguez y Carlos Cobas, cómo hacer crecer e internacionalizar a una empresa de software científico, por lo que su experiencia es directamente aplicable a Qubiotech. Nowture, por su parte, aporta un gran conocimiento y experiencia en aceleración, generación de valor e internacionalización de empresas biotecnológicas en sus primeras fases de desarrollo. Ambos fondos no sólo aportan capital y networking sino que participarán activamente en la toma de decisiones de la empresa.

SEMOLA Tech Ventures es una sociedad de inversión creada por los socios fundadores de la compañía Mestrelab Research Javier Sardina López, Carlos Cobas Gómez y Santiago Domínguez. Su misión es financiar proyectos (fase semilla) enfocados a ciencias de la vida y biotecnología y servir de tracción para que otros inversores se unan a los proyectos en fases más avanzadas. Para ello aportan no sólo financiación económica, sino también tanto el know – how técnico que precisan en dicha fase semilla como la experiencia en el desarrollo de negocio y el acceso al mercado a través de un producto mínimo viable.

“Qubiotech es un proyecto que encaja perfectamente con la filosofía de inversión de Sémola. La empresa tiene un alto contenido de conocimiento especializado y una ventaja tecnológica que le da un liderazgo potencial en el mercado global al que se enfoca. Ha demostrado ya su capacidad de ofrecer producto de calidad a cliente final y está lista para una fase de internacionalización y profesionalización de la fase de acceso a mercado que ofrece una gran oportunidad de crecimiento, a la que nosotros creemos que podemos aportar significativamente, no solo con capital, sino también con nuestra experiencia en esa fase del crecimiento de un negocio”, afirma Carlos Cobas, cofundador de Sémola Tech Ventures SL.

Nowture es un Venture Builder orientado a la creación, desarrollo y aceleración de startups innovadoras con alto potencial de crecimiento en Biotecnología y Ciencias de la Vida. Qubiotech tiene su mercado objetivo –especialmente- en enfermedades neurodegenerativas, que es una de las áreas de especialización del equipo científico y técnico de Nowture. Con esta nueva inversión Nowture no sólo incrementa su cartera de participadas sino que potencia su crecimiento a través de las sinergias ya identificadas y que, sin duda, acelerarán su crecimiento.

La experiencia de Nowture en mercados emergentes, así como en la internacionalización de empresas biotecnológicas permitirá a Qubiotech alcanzar acuerdos de comercialización en nuevos mercados de alto potencial de crecimiento.

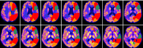
Qubiotech comercializa la plataforma de análisis de neuroimagen “Neurocloud”. Esta plataforma es uno de los pocos productos en el mercado que alberga herramientas que permiten el análisis de imágenes del cerebro adquiridas con Tomografía de Emisión de Positrones (PET), Resonancia Magnética (RM) y Tomografía computarizada por emisión de fotón único (SPECT), facilitando la detección y cuantificación de anormalidades en un mismo entorno para facultativos de Medicina Nuclear, Radiología y Neurología. A día de hoy Neurocloud es utilizada en 20 hospitales de España y Portugal y ya ha ayudado a interpretar más de 7.000 imágenes de pacientes con enfermedades como demencias, Alzheimer, Parkinson, esclerosis múltiple o epilepsia.

La estrategia de I+D de Qubiotech en el período 2023-2025 se centra en el desarrollo de algoritmos de Inteligencia Artificial enfocados al análisis de imagen oncológica mediante PET y RM. El primero de ellos, destinado a facilitar el diagnóstico y seguimiento del glioblastoma, ha conseguido financiación en dos proyectos de I+D del Ministerio de Ciencia en sus convocatorias de Líneas Estratégicas 2021 y 2022.